Ikuti
14
2
2
saúde bucal
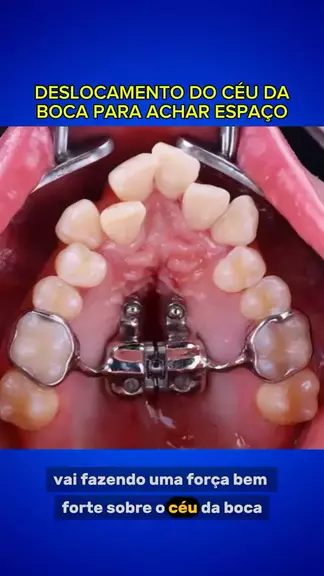
deslocamento do céu da boca para achar espaço #dentista #dente
Lebih banyak
Komentar
Batal
Kirim