Seguir
13
2
2
saúde bucal
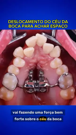
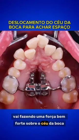
deslocamento do céu da boca para achar espaço #dentista #dente
Mais
Comentar
Cancelar
Enviar